LA ENFERMEDAD DE MULLER WEIIS O NECROSIS DEL ESCAFOIDES TARSIANO PUEDE OCASIONAR DEFORMIDADES SEVERAS DEL PIE ASI COMO UN DOLOR INVALIDANTE. EN ESTA CASO DECIDIMOS ARTRODESAR ÚNICAMENTE LA COLUMNA MEDIAL INTERPONIENDO INJERTO DE CRESTA ILIACA PARA MANTENER LA LONGITUD DE LA MISMA
IMÁGENES PREOPERATORIAS, MUESTRAN EL ACORTAMEINTO DE LA COLUMNA MEDIAL POR EL COLAPSO DEL ESCAFOIDES, ASÍ COMO LA FORMA TÍPICA EN COMA EN LA RADIOGRAFÍA ANTEROPOSTERIOR
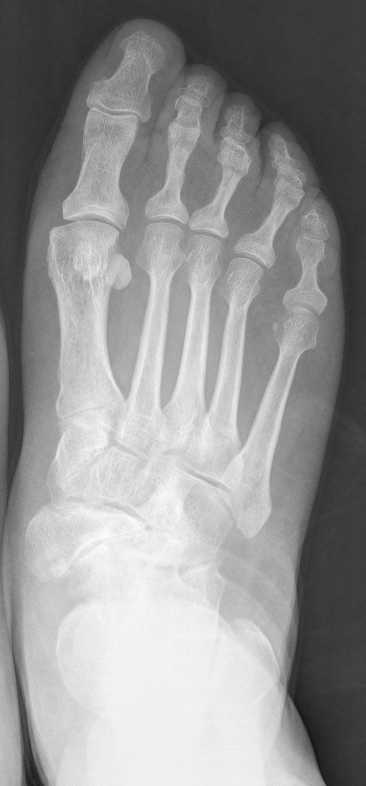
A LOS 7 MESES DE LA ARTRODESIS LA FUSIÓN DE TODA LA COLUMNA MEDIAL PARECE LOGRADA.




1 comentario:
bayas de goji... sí... yo también las probé. Para mis condiciones de salud, esas bayas rojas y dulces parecieron ayudar, pero solo durante el tiempo en que las consumí. No quiero tomar un medicamento por el resto de mi vida, entonces, ¿por qué querría tomar un suplemento natural todos los días por el resto de mi vida (aunque las bayas de goji son muy sabrosas y muy nutritivas). para mí esto tampoco era una cura (y estoy buscando la cura). hasta ese momento, no había encontrado una cura. Me sentí como un joven desordenado. Seguí teniendo un dolor extremo, pero continué en mi camino hacia la curación. Empecé a concentrarme en mí mismo y no en los demás. cuando era un adulto joven, asumí demasiada responsabilidad por un sentido de obligación. esto ya no era saludable para mí, así que renuncié a todos mis proyectos y grupos. esos días por venir fueron los mejores [y peores] días. Me tomé mucho tiempo libre del trabajo, pero comencé a sentirme extremadamente exhausto. Muchos profesionales de la salud me "diagnosticaron" fatiga suprarrenal y VIH, cáncer de próstata, por lo que mi situación era molesta. Entonces, sigo buscando una cura permanente en línea. Fue entonces cuando llegué a conocer las manos del centro herbal dr itua, a quienes Dios ha bendecido con hierbas ancestrales y un regalo. para curar a personas con enfermedades como cánceres, enfermedad de alzheimer, vph, infertilidad masculina y femenina, melanoma, mesotelioma, diabetes, mieloma múltiple, enfermedad de parkinson, tumores neuroendocrinos, herpes, vih/sida, linfoma no hodgkin, diarrea crónica, copd ,hechizo de amor, hepatitis... así que compré sus medicinas a base de hierbas y he estado cuidando mi salud durante 6 años y de hecho confirmé que sus medicinas a base de hierbas son una cura permanente y estoy muy feliz de haber venido a Conozca sus curaciones a base de hierbas. Puede ponerse en contacto con el correo electrónico del centro herbal dr itua: drituaherbalcenter@gmail.com www.drituaherbalcenter.com si pasó exactamente por lo que yo paso en términos de condiciones de salud porque, para ser honesto, hay más que aprender sobre ut hierbas naturales que las drogas médicas.
Publicar un comentario