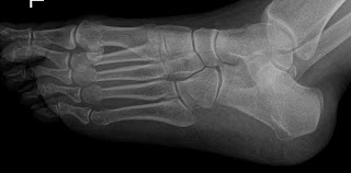
Podemos observar que no existe mucha deformidad pero el hematoma que presenta en la planta nos hacen sospechar que pueda presentar alguna fractura.
En la radiografía se pueden observar si se observa con detalle una fracturas de los cuellos de los metatarsianos 2º a 4º, un poco más desplazado el del 2º, pero con una alineación aceptable. la paciente fué inmovilizada con una férula posterior y así acudió a nuestra consulta. Cuando vi el caso me pregunté, si cuando se realiza una osteotomia tipo weil percutánea el efecto logradoes similar al que se ha producido de una manera espontánea en este caso, y se puede inmovilizar con un vendaje corrector y le permitimos que ande para colocar las cabezas metarsianas en su sitio, ¿porqué no lo podiamos hacer en esta caso?, de hebho la mujer dice que tenía metatarsalgia antes del golpe, por lo que haciendo un chiste podriamos decir que se ha operado ella sola y sin anestesia.
Detalle del vendaje, el mismo que empleamos en los operados de juanetes.
Espero que os pueda ser de utilidad para tratar a otros pacientes con el mism problema.

No hay comentarios:
Publicar un comentario